Benign Is Not Fine – Laura’s Story

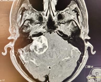
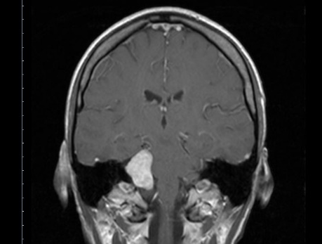
I was diagnosed with a large Vestibular Schwannoma brain tumour in September 2023. I’d had many years of symptoms including numbness of my face, balance issues and vertigo. For almost 3 years I went to doctors, yet my symptoms were ignored and I was told it was mental health related. It was my dentist who finally sent me for a scan.

When I was diagnosed and heard the words benign, I felt relief, as my husband and I have four young children and I needed to be around for them.

I had surgery to remove the tumour in April 2024, and after 14 hours on the operating table my husband received the call to tell him the surgery went well… Less than one hour later he got another call saying I hadn’t woken up and was going straight for a scan.

What they found then was a huge clot pressing on my brain stem. It totally blindsided everyone, even the professionals. They actually ended up getting a few neurosurgeons from London involved too. I think there were 5 in total. “It’s a very rare case” they said.

I was told I would be deaf, and off balance for a few weeks, but nothing like the damage to my brain that this had caused.

After four weeks of being ventilated, 3 months in hospital and many tests later, I went home – in a wheelchair.

The enormity of it all actually didn’t hit me until after my surgery… I’m naturally a very positive person and I was always really proactive, then I woke up like this.

Before my surgery I was VERY active- often found running marathons or hiking in the Lake District. Now I am unable to walk (yet) and have many issues.

Whilst I am out of the wheelchair and now able to live upstairs, I have been left blind in one eye, deaf in one ear, ataxic (constant shaking), unable to walk at all outside, no temperature or pain control down my left side and I have severe facial palsy meaning I look and sound very different.

Life can be hard at times but, whilst benign isn’t fine, I am so pleased I am still here to tell the tale.

My children and husband have been fantastic throughout it all, and I certainly wouldn’t be where I am today without them. They have definitely kept me going. They are my biggest cheerleaders and have never doubted me.

I am enjoying the slower pace of life with two main aims for 2025: to walk again and to gain my driving license back!

By Laura Earl

The Beyond Recovery Project relies entirely on the generosity and support of our donors. Your contributions make it possible for us to transform lives and empower individuals on their journeys to recovery and beyond. Every donation, no matter the size, helps us continue to provide vital services, support, and experiences to those who need it most. Thank you for making a difference and helping us change lives for the better.

You can donate here.

The Benefits of Walking in Nature for Brain Tumour Recovery

Embarking on regular walks in nature can be a powerful ally in your recovery journey after a brain tumour diagnosis. Beyond the physical benefits, immersing yourself in natural surroundings offers neuroprotective advantages that can enhance your overall well-being.

Neuroprotective Benefits of Walking in Nature

Walking in natural environments can help alleviate many common side effects of brain tumours, such as fatigue and depression. The Brain Tumour Charity suggests that gentle to moderate, low-impact exercises like walking can combat persistent tiredness and improve mental well-being. It can also play a particularly important role in rehab.

The Power of Green and Blue Spaces

Spending time in green spaces (parks, forests, and countryside) and blue spaces (lakes, rivers, and the ocean) has been shown to reduce stress, improve mood, and boost cognitive function. These environments offer a sense of peace and restoration, which is particularly beneficial for those recovering from neurological conditions. A study published in Environmental Research found that exposure to natural environments is linked to lower levels of cortisol (the stress hormone) and improved mental clarity.

Forest Bathing: A Pathway to Healing

The Japanese practice of “Shinrin-yoku,” or forest bathing, involves immersing oneself in a forest environment, engaging all senses to connect deeply with nature. Research indicates that forest bathing can boost the immune system by increasing natural killer (NK) cell activity and the expression of anti-cancer proteins. A study found that participants who spent time in forest settings experienced a significant increase in NK cell activity, suggesting enhanced immune function.

A systematic review highlighted that forest bathing might significantly improve cardiovascular function, neuroendocrine activity, and overall mental health, all of which are crucial during recovery.

Overcoming Apprehension About Group Activities

It’s natural to feel hesitant or apprehensive about joining group activities during recovery. Concerns about keeping pace with others or managing symptoms in a social setting are common. However, participating in group walks can offer additional benefits that might ease these apprehensions.

Joining a walking group fosters a sense of community and shared purpose. Connecting with others who understand your journey can provide emotional support, reduce feelings of isolation, and enhance motivation. The American Brain Tumor Association highlights the importance of support groups in improving emotional well-being and quality of life.

If joining a group feels overwhelming, consider starting with solo walks in nature or with an understanding friend to build confidence. Over time, as you become more comfortable, you might explore local walking groups or community events focused on brain tumour support. 

Walk your way through recovery and beyond…

If you’re looking for a supportive and understanding community, The Beyond Recovery Project offers guided walks specifically for those living with the impact of a brain tumour and their carers. These walks are led by trained individuals who have either experienced a brain tumour themselves or have supported someone through it, so they truly understand the challenges you face.

These free events (apart from parking charges sometimes which unfortunately are out of our control!) provide a safe, welcoming space to connect with others, enjoy the benefits of nature, and move at your own pace. Whether you’re taking your first steps back into physical activity or simply want to enjoy the outdoors with people who “get it,” these walks offer the perfect opportunity to experience the healing power of nature with a supportive community.

Every step you take in nature is a stride toward improved health and well-being. Embracing the healing power of green and blue spaces, whether alone or with others, can be a valuable component of your recovery journey.

To find out how you can be a part of our outdoor community, email info@thebeyondrecoveryproject.org

Becky’s Story

Shortly after the birth of my son Zachary, I was diagnosed with a brain tumour called an Acoustic Neuroma. Also known as a Vestibular Schwannoma, this low grade, non-malignant tumour grows on the eighth cranial nerve, responsible for your hearing and balance.

Symptoms can include hearing loss, tinnitus, balance problems, facial numbness, headaches, ear pain, difficulty swallowing, voice changes and visual disturbances.

Despite my tumour being benign, the size and location of it meant it was compressing my brain stem; it needed to be removed else it could be fatal. These tumours are in such close proximity to your facial nerve (7th cranial nerve) that removing them can be extremely complex; causing damage to this nerve often leaves people with severe long term facial palsy and difficulty eating and swallowing.

I had my 10 hour brain tumour surgery in March 2024 and was expected to be in Salford Royal hospital for 5 days. Unfortunately I developed a cerebral spinal fluid (CSF) leak and meningitis which was then followed by a reaction to the antibiotics trying to save me, but at least I have an epic scar to show for it.

These complications meant I was in hospital nearly a month; I have no recollection of the middle weeks when I was so out of it with the meningitis. Being away from my family was tough and I was worried Zachary wouldn’t remember me.

Zachary took his first steps the day before I went into hospital. I’m sure he knew how important it was to me not to miss this. After my surgery, it was me who had to learn how to walk and balance.

Several weeks after returning home I couldn’t even manage to walk to the end of my street. Due to my CSF leak and ensuing complications, I wasn’t allowed to lift, carry or elevate my heart rate until 4 months post op; that meant not lifting Zachary for all that time.

With the surgeons having to sever my vestibulocochlear nerve, I am now completely deaf in my right ear (known as single sided deafness or unilateral hearing loss) and have permanent balance issues. I also suffer with neurofatigue, physical fatigue, facial numbness, facial twitches, tinnitus, neuralgia, visual problems and issues with my sense of taste.

I am still learning to adapt to my new life and my new normal. Unfortunately all of my tumour couldn’t be removed, else I would have been left with severe facial palsy. I now have regular MRI scans to monitor this, and will need radiotherapy if the tumour starts to grow again.

Neurofatigue also known as mental fatigue is a hidden disability misunderstood by many. It is very different from physical fatigue. Neurofatigue is a decrease in concentration, focus, memory, recall, and word retrieval. This fatigue or tiredness is not the same as exhaustion due to physical exertion, insufficient sleep, or overworking. It is common in those with brain injuries.

I’ve been told, “You look fine now,” “There’s nothing wrong with you,” and my personal favourite, “There’s lots of people who don’t have brain tumours that can’t walk as far as you.”

Well yes, that is probably true, that the mile I can walk now may be more than lots of people. But when you were doing a 10 mile hike up a mountain to be then only able to walk 1 mile, that is very different.

Becky with partner Ross, and Zachary at Penrith Park Run.

I was a very active person prior to my surgery; people have no idea that the Parkrun or walk I did at the weekend floored me, and resulted in me not leaving the house for 2 days. People only see my good days. The lack of ability to exercise physically has also had a massive impact on my mental health.

“…neurofatigue really is misunderstood.”

Even some family members don’t get it. A recent comment at a family meal, in a noisy restaurant, about me being “Rude because you left early,” struck home how neurofatigue really is misunderstood.

They don’t seem to understand that had I not left early (and we’re only talking 8pm here) and I certainly didn’t want to, I would have been in bed until 2 o’clock the following afternoon and missed out on taking my son to the park.

People don’t understand that I have to plan my life weeks ahead, so I can have rest days. And those rest days can be after something as simple as meeting a friend for lunch – not running a marathon. I’m currently finding neurofatigue much much worse than the physical fatigue.

My single sided deafness (SSD) does not help this neurofatigue one bit. When someone can hear well, with both ears, their brain is able to filter out unwanted background noise and concentrate only on what they want to listen to.

With SSD, I struggle with hearing sounds or speech on the side with the deafness, because the head naturally blocks soundwaves from that side making it harder to hear for the ear with a normal level of hearing (this is called the ‘head shadow effect‘). I can’t identify what’s causing the sound or the direction it’s coming from or judging how far away the source of sound is. I can’t understand speech when there is background noise such as a tap running or a radio playing, because my good ear homes in on that noise and ignores the person speaking to me.

I’ve often been told, “But you’ve got one good ear”. They don’t understand the level of fatigue SSD causes, or how embarrassing it is to inadvertently ignore someone, or having to ask again and again for someone to repeat themselves.

Unfortunately, because my cochlear nerve had to be cut during the operation it means any hearing aids can only direct sound to the good ear, so it doesn’t help with processing sounds and the fatigue it causes.

Becky and other brain tumour survivors taking part in a forest experience day.

The Beyond Recovery Project has been a life saver. This organisation provided support before, during and after my surgery. When I was in hospital, it struck me that I might not be ever able to do the things I love to do again, such as mountain hikes or exploring the great outdoors. I cried at the fact that I may never be able to complete my bucket list, Tough Mudder being on that list.

“If other brain tumour survivors can do it, so can I.”

The Beyond Recovery Project empowers and inspires brain tumour survivors. So when Sara, who started the organisation, messaged asking if I’d be up for the Sahara 2025 challenge I jumped at the opportunity. I mean I had already said yes before I knew the challenge would entail a 100Km trek over 5 days in sand dunes. I thought to myself, “If other brain tumour survivors can do it, so can I.”

Becky pushing herself to get back out there, in training for her forthcoming challenges

This is exactly what I needed to give me a sense of purpose and a goal to aim towards. I wouldn’t be where I am today and have the motivation to keep going if it hadn’t been for some of the amazing people I have met through this organisation. As I like to say, “I’m not in a box yet!”

On 26th July I am taking on the Tough Mudder 15K challenge to raise money for The Beyond Recovery Project. I’ve also signed my better half Ross up for the challenge (there was a 2 for 1 Black Friday deal so it seemed a shame not to use it!)

Before my brain tumour diagnosis, I would have given every excuse under the sun as to why I kept putting Tough Mudder off. I mean, I currently can’t run more than a mile in one go, but now my mindset is different and I’m ready to work towards the challenge. If other people can do it, why can’t I? Any donations, however small will help this organisation continue to support and motivate brain tumour survivors.

By Becky Holden

In November 2025, Becky will be joining us on our 100km Sahara trek, to push the limits of her new normal. Please show your support by making a donation.

Living With a Brain Tumour: The Battle You Can’t Always See

When you hear the words “brain tumour,” what comes to mind? A dramatic hospital scene? A miraculous recovery? Maybe a sad story with a montage of soft piano music? For those of us living with or supporting someone with a brain tumour diagnosis, the reality is a little more… well, messy. And no one gave us a script.

Sure, a diagnosis might come with a wave of sympathy and offers of support (which we do appreciate, by the way). But what about the years—or even decades—after? The part where the world moves on, but you’re left navigating a very different life? Let’s dive into the hidden effects of living with a brain tumour and how to help the world understand the parts they can’t always see.

The Invisible Exhaustion

One of the first things people don’t seem to understand is the exhaustion. And not the “I stayed up watching Netflix until 2 a.m.” kind of tired. This is next-level fatigue, the type that can make brushing your teeth feel like a triathlon.

You’ll hear people say, “But you look fine!” as you’re trying to muster the energy to respond without screaming. You’re tempted to reply, “I am fine… as long as I don’t have to move, think, or breathe too hard.” And no, you can’t “just push through it.”

For family and friends: Sometimes we cancel plans or need quiet time, and it’s not because we don’t care. It’s because we’re recharging so we can show up for you again later. Trust us; we’re worth the wait.

The Cognitive Jigsaw Puzzle

Living with a brain tumour—or the aftermath of one—can feel like your brain’s been replaced with a slightly broken second-hand one from eBay. Words vanish mid-sentence, dates slip through your fingers, and multitasking? Forget it.

Add to this, hidden disabilities like impaired balance and vision, hearing loss, headaches…

The most frustrating part? People mistake this for laziness or inattentiveness. No, we didn’t forget your birthday because we don’t care; it’s just that our brain is busy trying to remember where we left the car keys (hint: they’re probably in the fridge).

For family and friends: Patience is key. And maybe sticky notes. Lots of sticky notes. If you can meet us with gentle reminders instead of frustration, you’ll be our hero.

The Emotional Rollercoaster

Think hormonal teenager, but with fewer bad decisions and more existential crises. A brain tumour can mess with your mood, your confidence, and even your sense of identity. One moment you’re laughing at a silly meme; the next, you’re crying because your toast fell butter-side down.

And let’s not forget the anxiety—waiting for scan results or worrying about symptoms that might just be “the new normal” but could also be something serious. It’s exhausting being in your own head sometimes.

For family and friends: Please don’t tell us to “stay positive.” We know you mean well, but it’s okay to feel all the feelings. What we need most is your presence, not your solutions. (Though cake helps, too.)

It’s exhausting being in your own head sometimes.

The Long-Term Side Effects Nobody Warned You About

It’s not just the tumour itself—it’s the aftershocks. Surgery, radiation, and medications can leave you with scars, seizures, and a body that doesn’t quite work the way it used to. And don’t even get us started on the constant “scanxiety.” Every check-up feels like waiting for the universe to flip a coin.

And while the world may expect us to “get back to normal,” we’re busy figuring out what our new normal looks like. Spoiler: It’s probably not a nine-to-five with a side of triathlons – although that’s not to say that’s impossible!

So, How Can You Help?

  • Listen more than you talk. We don’t need you to fix us; we need you to hear us.
  • Offer practical help. A meal, a lift to an appointment, or just showing up with a good sense of humour can make a world of difference.
  • Educate yourself. The more you understand, the less we have to explain (and trust us, we’re tired of explaining).

And for those living with a brain tumour diagnosis: Give yourself some slack. You’re navigating a world that doesn’t always understand you, but you’re stronger than you know.

At The Beyond Recovery Project, we get it. We’re here to provide support, resources, and a place where you can let your guard down. Whether you’re living with a diagnosis or loving someone who is, you’re not alone in this journey.

And remember, even on the hardest days, you’re still showing up in ways that matter. Take it one step, one nap, one awkward laugh at a time.

By Sara Crosland

Nick’s Story

“The strength of a team is each individual member. The strength of each member is the team.” ~ Phil Jackson

This is what Nick discovered when tragedy hit, just months before he was due to summit North Africa’s highest peak…

Here, he shares his experience:

Toubkal? Doubtful now….

Friday 26th April 2024, I set off to cycle to work as I had all week.  I remember turning left on Cavendish Road, I wasn’t early, or late.

According to my phone, I regained consciousness on Sunday 28th April and found myself on L10.

I was told that I was found unconscious in the road by a pedestrian who flagged down a passing ambulance. Scary thoughts…

Various scenarios have been suggested as to what occurred.  As an Acoustic Neuroma (AN) brain tumour survivor, with half my vestibular system non-functioning, I am always aware that my body might fail me. In this instance, my injuries tell a different tale, as does my bike computer and my clothing.

Seven broken ribs, a punctured lung and ‘a trace’ of ventricular haemorrhage (bleed on the brain).

When I was told of my injuries I cried, out of my right eye as my left one has been unable to cry since AN excision.

I was due annual leave for a week starting 29th April. The plan was to take the train up to Scotland to backpack the Speyside Way as a toughener for Morocco.

I had been honoured to be invited with a team of brain tumour survivors to climb Mount Toubkal, which at 4,167m this is North Africa’s highest peak. I had trained diligently, walking every weekend often with Friends of Settle Carlisle line (FoSCL) walking group, but solo too, to strengthen my walking legs; cycling might build fitness but walking requires physical stamina. 

Having been advised to walk with a 10kg rucksack, I was inspired by Constance at work who was going camping for the weekend. Backpacking would need my largest rucksack and I wanted to keep using my trekking pack for consistency.  So I came up with the idea of a weekend overnight trip (22nd to 23rd March) to Greg’s Hut.

I had passed this hut on my 1995 Pennine Way trip. I walked from Appleby station to Dufton, then the Pennine Way until Cross Fell,  followed by a cold night with snow and a corresponding tough descent to Langwathby for a warm train home.

My intention was to be a strong team member so I could help and encourage our team. It turns out I ended up being the weakest team member, full of doubt and pain on every breath, despite my painkillers.

On 9th May, I was discharged home. My dream of my own bed was ruined by the realisation that, unlike in hospital, my bed didn’t adjust and lying flat left me prone to rolling on to my left side with its broken ribcage. I slept sat upright on my sofa.

My consultant had said he would sign me off to fly to Morocco but the ascent was up to how I felt…

I was told not to exercise for a month after my chest drain was removed (8th May) so with my  consultant’s flight approval in my head, I went on a FoSCL  walk on 8th June; despite all the training I had put in prior to my RTC, it was hard. 

I stopped for my bladder, and could barely catch up. I spent all day trying to maintain their pace and took an extra dose of painkillers as my ‘reward’ for reaching Settle station and the train home. After sleeping my way home, I was certain my Toubkal quest was unrealistic.

I have to say at no time did my team refuse to take me. I had completed 2 training weekends in Snowdonia and we had Gwyn, our very own Mountain Rescue/Advanced Paramedic Practitioner, along with support crew Paul, Aimee and Daniel, in addition to our local guides.

On 15th June, I forsook the FoSCL walk, in order to hike solo to test myself and have greater control over the distance covered.  I went to Horton-in-Ribblesdale for Pen-y-Ghent, the 1st of Yorkshire’s 3 peaks and an old friend of a mountain…. I made it! Ok, it took one and a half hours, whereas one hour is my standard time, but the walk down to the well-earned café stop was full of hope.

Solo training hike up to Pen-y-Ghent, Yorkshire

On 20th June, I set off to walk down for the bus to Apperley Bridge train station. My trekking rucksack was in my kit bag that had a shoulder strap – I threw it over my right shoulder but the weight shifted my ribcage and the pain shot up my left chest wall.  I dropped my kit bag, took a few deep breaths and questioned what I was doing.  As an AN survivor I have been through a lot, I picked up my kitbag, carrying it like a baby, and waddled down to the bus stop.

The train journey to Manchester Airport was traumatic with cancelled trains, an extra change at Manchester Oxford Road and the out of use travelator. Eventually, I made it to await our team coming from all over the UK.  Phil arrived first and found me.

I felt like a fraud because I expected to get to base camp and be medically withdrawn, I had already resigned myself to this fate.

Pre-departure nerves and smiles in Manchester Airport

After a restless night, our team appeared in the morning and I tried not to look like I was surviving on 4 hourly painkillers (I was).  I was trying to act fit and well when my sun cream was confiscated going through security! It was a relief to have something to distract me. I was more concerned by not having water to take my next painkillers! Thankfully the airport Starbucks refilled my bottle.

The flight was ok. Sat upright, I managed to sleep without dribbling!

The minibus ride out from Marrakech was great, as our team was all together.  I felt safe having the support of each member.  We arrived at the roadside drop off and walked to our village accommodation… I had a mixture of apprehension, excitement and companionship.

We were made to feel welcome, and I ate for pleasure rather than just to give my painkillers a soup to work from.

On 22nd June we set off, resplendent in our clean kit, to begin the trek up to base camp. I expected this to be my swan song and so tried to enjoy the day. We arrived together but my breathing was difficult, as well as painful.  Sara gave a team talk about being able to ascend the next day. I was still waiting to be deselected.

The team entering Toubkal National Park, on their way to base camp.

I went to bed thinking I wouldn’t sleep, but did.  I awoke (at altitude) and my breathing seemed better, but I was still holding back the tears wondering when I would be stood down. However, Sara had no intention of leaving anyone behind unnecessarily, and had many back up plans in place, just in case.

It’s easy to complain, yet we have all survived so much; that first walk after surgery and bed rest. Not just my body but everyone in our group has survived so much and we still wonder, “Is that possible?” Our entire team has had to face the new normal after surgery and/or treatments that in themselves are debilitating.

On 23rd June, our entire group set off. Wow! I was still on the team…

There were a few handholds on rock before the stony route continued.  Together, as a group, we ascended.  I tried, oh how I tried, but I asked for more rest stops than anyone else. My legs were ok, but my breathing was ragged at altitude and painful with every breath. 

Slowly making our way up to the summit.

Just before the summit, one of our guides swapped rucksacks with me. I was a bit put out by this, but in reality I needed every assistance to reach the summit.  I had spent the whole climb trying not to be a burden and looked back down our route wondering who would be sent back with me.

Summiting came as a shock. I was amazed and grateful for the team who had supported me on the ascent, even Paul who had been singing (badly) little donkey…

Lahcen, one of our guides, ran me down the scree slopes on the descent.  I just leaned into him and trusted that he knew the safe routes.  I still asked for various stops on the way down.  Lahcen was instrumental in getting me back to base camp safely.  I felt lost without my team but at least I wasn’t slowing them down anymore.

We weren’t the first down though, that was Israr, who had also had to overcome significant challenges to reach the summit. Since her surgery for a life-threatening Petroclival Meningioma, she has also had to relearn to walk, has severely impaired vision, and is now hypoxic at sea-level, so she too had needed to stop frequently for supplemental oxygen.

Descending the scree slopes with Lahcen.

Summiting was unexpected. I think I was a bit in shock for the rest of the day, but so grateful to the entire team.

~Nick Marston, Team Toubkal 2024

The Beyond Recovery Project relies entirely on the generosity and support of our donors. Your contributions make it possible for us to transform lives and empower individuals on their journeys to recovery and beyond. Every donation, no matter the size, helps us continue to provide vital services, support, and experiences like this to those who need it most. Thank you for making a difference and helping us change lives for the better.

You can donate here.

Wendy’s Story

The words brain tumour were first mentioned to me at the age of 26.  Sudden hearing loss in my right ear prompted a referral to ENT.  After a hearing test the ENT consultant said the words, “I’m afraid I have bad news, you have complete hearing loss in the right ear, the hearing nerve is completely damaged, I think you may have a benign brain tumour called an Acoustic Neuroma”.  Not at all what I expected and quite a shock! 

I had an MRI a week later and to my relief came back as normal, the hearing loss blamed on a virus.

7 years later, shortly after my youngest was born I started to have some new symptoms.  I had a few episodes of vertigo where the room would suddenly start spinning and I would have to sit still until it passed.  This was scary, especially one day when it happened on the stairs, luckily I wasn’t carrying Scott, my newborn baby.

Other symptoms also started, blurred vision, balance/co-ordination issues, weakness in my limbs, fatigue, difficulty concentrating.  A visit to my GP prompted a referral to a neurologist.

An MRI shortly after seeing the neurologist confirmed a 13mm Acoustic Neuroma brain tumour.  This suddenly explained the hearing loss nearly 8 years prior.  It also explained other things, like when I lost my balance and fell head first down a flight of stairs around the same time as the hearing loss, thankfully only ending up with a broken wrist!  

It was decided by my consultant team that I should be placed on “Wait & Watch” as the tumour was small and may not grow anymore rather than risk surgery.  So a scan was planned for 6 months time. 

It was difficult getting on with life as normal knowing it was there in my head but I did my best.  Nausea due to the balance issues became a near constant companion.  During this time whilst training for a marathon, my balance issues contributed to a fall and I broke my tibia and fibula in 3 places near my ankle on 31st Dec 2009, I had surgery a few days later to patch me up with a metal plate and a few screws and bolts.  

In April 2010, my 6 month MRI showed more tumour growth, so with my increasing symptoms, the fact that my hearing and balance nerves were already dead and at my relatively young age of 34, it was decided I should go for surgery.

I had my 11.5 hour surgery on the 20th September 2010 at the Royal Victoria Hospital in Belfast.  I was lucky to initially make a good recovery, as my balance and hearing nerves were already destroyed by the tumour.

I had no issues with walking etc soon after surgery.  My facial nerve had been slightly affected and I ended up with an ulcer on my cornea due to my eye not closing properly at night. Thankfully the ulcer healed up and eye sight came back to normal.  I taped my eye closed at night for a month or so and had to use plenty of eye drops and ointments to deal with the severe dryness, an after effect of the surgery.  

Recovery from surgery was a long slow process, the neuro-fatigue meant returning to my normal work hours was difficult. It took 18 months to get back to normal work hours.  My GP recommended getting out on plenty of walks and this helped immensely.  I decided to start training again for that marathon and finally completed the Dublin Marathon in Oct 2014.

An MRI after surgery revealed a very small remnant. This was monitored closely and remained stable for 10 years.  I had learned to manage my symptoms which were mainly balance problems, fatigue, nausea and trigeminal neuralgia. I increased my hours at work and began to study for my accountancy exams. Life was good.  Then out of the blue on the 4th January 2021 I got a phone call to say that my latest scan showed that the tumour was growing again.  I was devastated.  It was decided that whilst it was still small I would have a dose of radiation by a Gamma Knife Machine (Stereotactic RadioSurgery).   

I had the Gamma Knife treatment in St James’s in Leeds on the 29th June 2021.  The procedure was painless, apart from the fitting of the frame to the head. 

Unfortunately I found recovery nearly as difficult as after surgery, the fatigue was crippling.  My neurosurgeon believes it was due to me having had the prior surgery as usually it’s an easier recovery. 

Returning to work was made difficult with fatigue, concentration and cognitive difficulties. My MRI 18 months after treatment showed that the tumour had more than doubled in size and that I needed another scan 6 months later to determine the next course of action. That was a very stressful time, I just thought I’m never going to get my life back and the fear of needing surgery again was unbearable. 

At this stage I was dealing with more headaches and new symptoms like hemi-facial spasms.  It was such a relief when the 24 month scan showed no significant change and I wouldn’t need to be scanned for another 12 months.

After the stress and hopelessness of these past few years I felt I needed a new challenge to get my life back on track.  I had heard about The Beyond Recovery Project and Team Toubkal and was delighted when I got a place on the team. 

I felt this was my chance to turn my life around. I had felt lost and depressed after the sudden regrowth 10 years post surgery and then devastated when it looked like the radiation hadn’t worked.  I had become unfit after the radiation and lost the motivation to do anything about it, not knowing if I’d ever be free to enjoy life fully again, without worrying if the next scan would indicate the need for surgery again.

Training for Toubkal is definitely one of the most difficult things I’ve ever done, but the support from The Beyond Recovery Project team has been phenomenal. Whether it’s just cheering each other on, sharing balance exercises or tips on dealing fatigue. 

Living with a brain tumour can be a lonely place but being involved with The Beyond Recovery Project has been life-changing.  Facing a challenge like Toubkal with others who have had brain tumours and have had similar difficulties is an amazing opportunity. 

The physical and mental benefits are plenty.  I now know that whatever my next scan in July reveals, I’ll be fit to cope, knowing I’ve conquered the highest mountain in North Africa in June and that I’ll have the support of The Beyond Recovery Team no matter what.  

The Beyond Recovery Project is a not-for-profit community interest company which supports brain tumour survivors like Wendy.

It is funded entirely by donations and run by volunteers. Please support if you can, so that we can continue to provide this support to the brain tumour community.

www.gofundme.com/f/beyond-recovery

Israr’s Story…

“I had been struggling with back pain for a while which prompted me to pay for a private MRI which found my brain tumour.

I’d try all kinds of professional services including a chiropractor, a physiotherapist and osteopath. I was always an active person, I regularly went to the gym and participated in classes but had to give this up when my balance became off and my leg kept getting stuck in one position and took a while to regain full movement.

By November 2021, the experts were perplexed. As was the GP. No matter the work they did on my body or homework I did on their recommendation, I was still struggling. I started to feel dizzy if I bent forwards and I could only walk a short distance as my leg locked and I’d have to drag it along. It was embarrassing.

By the time Christmas arrived, I wasn’t feeling myself. My mum died two months earlier, and I was dealing with health concerns that didn’t seem to be improving.

This continued for months. In April 2022 I was alarmed by a change in the appearance of one side of my face. It seemed to droop and I felt as if I was drooling. I kept this to myself, not telling my husband my concerns and I wasn’t sure that change in my face was noticeable to other people.

That’s when I booked myself in for an MRI scan which I paid for. The doctors asked my symptoms and carried out tests as I was laying down as well as balancing. As I walked across the room for one part of the examination, he suggested I have a scan of my full spine and my head.

At this point, I still had no idea that there was anything going on in my head. I just wanted the pain in my back to go away.

Results came through a week later by an online video consultation. I could see the face of the specialist, he looked almost worried. He told me that there wasn’t a problem they could see in my spine, but I had a tumour on my brain.

In that moment everything felt surreal. I ignored the fact I had just been diagnosed with a brain tumour and instead asked what they could do about my back.

The tumour was a slow-growing petroclival meningioma, they could tell due to its size. The chances are that it had been growing for the last 15 years.

I expected to wait months for surgery due to a backlog of bookings. I was told before the operation, it’s likely I would lose mobility of my legs and would never regain movement due to nerve damage. They said without intervention I could survive nine months because the placement and size of the tumour was causing extreme pressure within my brain. This was in May and my operation was expected in November.

My husband was crying at this revelation as I remained stone-faced and in utter shock.

I started to write birthday cards for my two boys who were going to celebrate milestone birthdays that year. I recorded video messages for them beyond the grave and wrote birthday cards for years to come.

My husband and I took walks together where we would talk about how we would adapt the house and bring a bed downstairs for me to sleep in. We vented our frustration and anger at the situation. It was truly awful.

A month later, in June, I had a call from the surgeon who told me they had space available in two weeks’ time. We were due to go on our ‘last’ family holiday together to make memories which we cancelled. I had surgery at Southampton Hospital. Four surgeons worked as a team during the 16-hour operation. When I came out, I couldn’t walk, I couldn’t even move my legs. I was unable to swallow, one of my eyes was closed and I struggled to see clearly with my other eye. I was very confused and part of my skull was replaced with a titanium plate.

Before I went into the operation, I did a lot of reading to help me prepare my mental state and I read a lot about visualisation. I don’t know how or why but in my drowsy state I asked the nurse to move my legs. I wanted to know if I could feel them. As I couldn’t see anything, I said ‘okay you can do it now’ not realising she already moved them but I didn’t feel anything.

Everyday, they moved my legs for me, multiple times a day and after two weeks I felt a tiny sensation in my thigh.

I visualised getting out of bed, standing, and walking to the door and out of the ward.

Within days, my eyesight came back and within weeks I was living out my visualisation, I was walking, and was allowed to go home.

I deleted the videos I had made for the boys and burned the birthday cards I didn’t think I’d get to see them open. The future was much more hopeful.

My depth perception and general groggy days caused me to have a few falls and incidents at home. I paid for private treatments including oxygen therapy to help accelerate my recovery.

I live with permanent double vision in my left eye and my eyeball doesn’t move as the rotating nerves were severed during surgery. They can take two years to grow. I currently wear a patch over this eye and have had a special contact lens made to wear on occasions that I don’t want to wear the patch.


My leg no longer gets stuck and I’m currently working on retraining my muscle memory and working on improving stamina. I’m taking swimming lessons to help improve my neuro pathways, working on my physical being as best I can.

I want to empower healthcare professionals with knowledge about brain tumours and to do this, we need to invest in research. Having gone through so much, I don’t want anyone else to go through this.”

Isra will be joining us in June 2024, as we climb Mount Toubkal, the highest mountain in North Africa. We are so proud of her!

The Beyond Recovery Project is a not-for-profit community interest company which supports brain tumour survivors like Israr.

It is funded entirely by donations and run by volunteers. Please support if you can, so that we can continue to provide this support to the brain tumour community.

www.gofundme.com/f/beyond-recovery

Amanda’s Story

Beyond Brian and Recovery


Our individual brain tumour journeys are not only about our physical recovery, but also regaining our mental balance, wellbeing and self-confidence – as well as adjusting to our new normal daily. Here’s Amanda’s story…

“In November 2017, when I was 50, I was diagnosed with a 25mm Acoustic Neuroma pressing on my brainstem. I named it “Brian”. He was on the left-hand side of my brain. On reflection before my diagnosis, I knew something was not right, with loss of hearing on my left hand side and ad hoc shooting pains behind my left ear along with headaches, fatigue, and tinnitus.

Brian the Brain Tumour

My immediate reaction on discovering I had a brain tumour, which due to its size and location meant that surgery was my only option, was denial and anger, as I had only recovered from surgery and radiation treatment for thyroid cancer ten years previously.

Hearing the consultant’s verdict and seeing the 3D scan image of ‘Brian’ my benign brain tumour, along with being told about the surgery involved to remove it and the possible complications, was terrifying and made me incredibly anxious as there were so many unknowns.

Initially I retreated into myself, as found it difficult to come to terms with what I was dealing with and the implications for myself and my family. However, my experience of dealing with my thyroid cancer a decade previously, gave me the armour to set out on my Acoustic Neuroma journey. So there I was, glass half full, Carpe Diem mental attitude and a whole lot of hope and faith.

‘Brian’, my brain tumour, was 100% successfully removed from the left hand side of my brain under the expertise of the skull base medical team following a 10-hour operation at Addenbrookes Hospital, Cambridge, in early March 2018.

Miraculously, they managed to unwrap my facial nerve from around ‘Brian’ and minimised the facial palsy on the left hand side of my face. My physiotherapy sessions went so well that I only spent three nights in hospital; the ENT and physiotherapist reckoned that due to doing balance related sports and exercises my vestibular system had already adjusted over the last decade, during which they believe Brian had been growing quietly in my brain.

However, whilst my recovery journey had only just begun, it soon came to an abrupt halt when 10 days after discharge I suspected I had a CSF (Cerebrospinal Fluid) leak. Following a check-up and emergency CT scan, it was confirmed by my neurosurgeon, and I was readmitted into Addenbrookes Skull Base ward on 26th March. I was put on a lumber drain for ten days. There is only a 5% risk of developing this post-surgery and it was at this point I hit an all-time low with the return of the facial palsy, as well as feeling afflicted and alone on this journey. During this time, I also developed meningitis. I couldn’t even cry properly as my left eye duct was still not fully operational.

My turning point was when a teenage girl came on the ward; she had a rare genetic brain tumour growth condition and chatting to her mum I found out she had already had a number of brain tumour operations and she was now having an Acoustic Neuroma removed, which meant she would be 100% deaf post op. This was a wake up call to stop feeling sorry for myself and to start putting a positive spin on matters. I still had Single Sided Hearing (SSH) and a full recovery to my new normal lay ahead of me.

“It wasn’t an easy road to recovery.”

Cycling 6 months post surgery

It wasn’t an easy road to recovery; adjusting to and coming to terms with Single Sided Deafness (SSD) on my left side, as well as my “new normal” was a challenge. I mentally and psychologically hit a brick wall at around seven months post-surgery, when the enormity of what I had been through dawned on me. I struggled to find the help I needed to see me through this dark period, but I am naturally a positive person and managed to get myself through this.

Before my Acoustic Neuroma I was very sociable, but now I am selective about what I do. I wear a CROS (Contra Lateral Routing of Signal) hearing aid. However, this is not ideal if I am in an environment with a lot of background noise, as I struggle to zone in on a conversation and suffer from fatigue after being in a busy and noisy environment.

I have tried not to let my Acoustic Neuroma define me, and thankfully the support of family and friends has helped me along on my journey. Post recovery though, family and friends only see the tip of the iceberg; they think you look and are fine, however they just don’t see what you are dealing with underneath on a daily basis: hearing issues, facial weakness, tinnitus, cognitive issues, eye issues, balance issues, sensitivity to sound, fatigue, anxiety, self-confidence and more…

One motivational WhatsApp message from a friend stands out from my recovery. It read, “The journey to the top of the mountain is worth the climb to see the view from the summit.”

I feel that my experience, and that of others, highlights the importance of the ethos of ‘The Beyond Recovery Project CIC’ to inspire and empower brain tumour survivors by bringing together others on the same or similar journey, to create a ‘safe’ space and sense of community, where survivors can share experiences and discover how to push beyond the physical and psychological barriers they face together.”

The Beyond Recovery Project is a not-for-profit community interest company which supports brain tumour survivors like Amanda.

It is funded entirely by donations and run by volunteers. Please support if you can, so that we can continue to provide this support to the brain tumour community.

www.gofundme.com/f/beyond-recovery

Sue’s Story

“In September 2021, I was diagnosed with an Acoustic Neuroma brain tumour after having a series of symptoms present themselves during COVID.  Looking back, I can now see that my ‘companion’ was letting me know he was there, my balance was off, I was feeling more tired and dizzy.  I didn’t put them together… blamed it on over training at the gym (I was a regular 4/5 x a week), being busy with 2 boys and just a busy lifestyle, especially when COVID hit.

A person with blonde hair

Description automatically generated with low confidence

I then started to experience problems swallowing and hearing on my right side was reducing.  I ignored it for a while, but when I was experiencing pain down my neck and not swallowing properly was keeping me awake, I decided to take the plunge and speak to my doctor.

A suspected ear infection and 3 doses of paracetamol later, I was referred to ENT at Southampton General Hospital.  Significant hearing loss was confirmed and they recommended me for an MRI, this was how they found my tumour.  It was 3.5cm. In addition to this, I had Hydrocephalus (a build-up of fluid on the brain – twice the amount there should have been).  If left untreated, this can be fatal.

A picture containing text, book

Description automatically generated

Things moved quickly, and it took 4 days from initial diagnosis to seeing a neuro surgeon.  Everything was explained and their first priority was to deal with the Hydrocephalus. 

My first operation to have a shunt fitted was 7 days after.  I had a 2-hour operation where a valve was fitted into my brain, allowing the fluid to drain from my brain through a pipe down into my stomach.  This ensured that the pressure it was placing on my brain was removed.  The surgeon was happy with how everything went and a date was made for the bulk of my tumour to be removed.

Unfortunately, due to COVID, my operation had to be rescheduled a couple of times, but on 1st February 2022, I underwent a 9-hour surgery where the wonderful NHS neuro surgeons were able to remove 95% of it.  The 5% remaining was near my facial nerve and for this reason, they decided not to remove that last part so as to avoid me having permanent facial palsy.

../../Library/Mobile%20Documents/com~apple~CloudDocs/Downloads/E186FCDF-F058-48F7-8066-DD5403E0E52A.JPG

Following my operation, I completely lost the hearing in my right ear, along with sense of taste on the right side of my tongue and a lack of tear production.  All things that 19 months later, I’m still trying to manage and come to terms with.

A picture containing person, outdoor, hairpiece, tool

Description automatically generated

Before my diagnosis, I was a regular gym bunny …. Cardio Bootcamp, strength training and pole dancing (all in one week).  However, since the operation I have struggled to get back and maintain the energetic lifestyle I once did.  The road to recovery hasn’t been easy and continues every day.

The recovery is not just physical but it’s also mental.  A lot of people believe that the recovery aspect is following treatment and the healing of the wound.  Friends and family have been a massive support and continue to be, however, only other Acoustic Neuroma patients truly know what it’s like. 

Every MRI scan or CT scan I have, anxiety kicks in.  Every noisy and busy environment I’m in or going to, anxiety kicks in.  Every meeting where I will need to make an instant decision, anxiety kicks in. 

“…things didn’t work out and unexpectedly they let me go just before the end of my probation period.”

This has had a knock on effect with my job.  The company I was working for when I was diagnosed were fully supportive of both me and my family, and allowed me to go back at my own pace understanding the needs that I had. However, due to a change in circumstances I found myself with a new role earlier this year.  Unfortunately, although having been upfront about my hidden disabilities during the interview stage, things didn’t work out and unexpectedly they let me go just before the end of my probation period. 

This was the first time a company had ‘let me go’ and it has been difficult to deal with, my confidence and self-esteem hitting rock bottom (again), so when Sara approached me and invited me to be a part of The Beyond Recovery Project, I immediately knew it was something that I needed to get involved with.

“It’s been 19 months since my main operation and I’m still learning how to be ‘me’”

It’s been 19 months since my main operation and I’m still learning how to be ‘me’ and embrace the ‘new normal’. The passion, belief and inspiration of Sara and others within The Beyond Recovery Project team is infectious; this trip is something I’ve never done before and before my diagnosis wouldn’t have even dreamed of. However if I am to be thankful of my ‘companion’ for anything, it has given me another lease of life and the word CAN’T doesn’t now appear in my vocabulary.”

The Beyond Recovery Project is a not-for-profit community interest company which supports brain tumour survivors like Sue.

It is funded entirely by donations and run by volunteers. Please support if you can, so that we can continue to provide this support to the brain tumour community.

www.gofundme.com/f/beyond-recovery

Andrew’s Story

“I was 40 when I was diagnosed with my Acoustic Neuroma. It was 3.5cm in diameter. I had been experiencing quite a few symptoms for months; like most men, I ignored them for as long as I could.

Andrew before his diagnosis.

My hearing was slightly off on the right side. My doctors said there was nothing wrong. Then my balance was affected.

My surgery was on 22nd May 2017, the same day as the Manchester Arena bombing. I woke up in recovery, where there was a flurry of activity, as doctors and nurses treated the injured and tried to find high dependency beds for the unexpected influx of patients.

I told staff to go and treat those who had been brought in, to let them have my bed, but they said I was still their priority. I was impressed with their compassion and professionalism, as medical staff who were off duty, or on leave, came back into the hospital to help.

The surgery site.

Surgery to remove the tumour had been successful, but it had left me with grade 6 facial palsy. I also lost my hearing and balance nerve on my right side.

At first, I didn’t think I needed help, but when I eventually got back to my work as a joiner, the only job I’d had since leaving school, I began to realise just how much I did.

Fatigue has been one of the biggest issues I’ve had to deal with since. It impacted my ability to work and I found it a real challenge. I struggle to make it through the day without a power nap.

“Feeling part of a community is really important to me.”

I have also had issues with my eye. Because it could no longer close on its own, due to the damage caused by surgery, I had to have platinum weights implanted into my eyelid. It is constantly dry, and so my life is dictated to by an alarm on my phone, which reminds me to put drops in it every 2 hours. If I don’t do this, it can become very painful, with a risk of developing corneal ulcers.

Recovery has been far from easy. Often, people with Acoustic Neuromas are dismissed as they are classed as a benign, or low grade brain tumour. However, something that is as life-changing as this is far from harmless.

Single sided hearing loss is another challenge we are faced with after this surgery. I have had further surgery to have a Bone Anchored Hearing Aid (BAHA) device fitted.

I now have a titanium post screwed into my skull and a sound processor which clips onto it. This picks up sound on my deaf side and conducts it through the bone of my skull to the cochlear nerve on my unaffected side.

It helps a little, but there are still many situations when this can be more of a hindrance. Trying to hear in noisy environments is very difficult, and this also impacts on my fatigue levels. I often suffer from a ‘noise hangover’ after being somewhere really loud! This can cause many people like me to become what might appear as antisocial, but we consider it as self preservation!

Bone Anchored Hearing Aid (BAHA)

Recently, I have found myself caring for my elderly parents, especially my dad who is not in good health. Trying to juggle this with managing fatigue levels on a daily basis is a real challenge at times.

Feeling part of a community is massively important to me. It is reassuring to be able to speak to others who are experiencing the same difficulties, as well as meeting those who inspire me. For this reason, I am really looking forward to being part of the Beyond Recovery team.

This project is really important, as it has given me something to focus on other than the 2 hourly phone alarm and the day-to-day struggles that life presents these days. I cannot begin to describe just what it means to me to be a part of something like this. I have never taken on anything like this before.

Getting to the summit really will be life-changing, and a really special experience for everyone.”

The Beyond Recovery Project is a not-for-profit community interest company which supports brain tumour survivors like Andrew.

It is funded entirely by donations and run by volunteers. Please support if you can, so that we can continue to provide this support to the brain tumour community.

www.gofundme.com/f/beyond-recovery

Thank you for your support.